Individuo do sexo masculino, veio ao SU por traumatismo lombar (queda em altura: 2m).
Apresentava múltiplos traumatismos, no entanto, com queixas mais acentuadas a nível abdominal região lombar.
Depois das radiografia convencionais, que mostravam fractura do muro posterior de L4, dirigiu-se ao Serviço de TC para realização de uma TC da Coluna Lombar.
JANELA DE OSSO:
![]() |
| REFORMAT: Marcação dos cortes Axiais |
![]() |
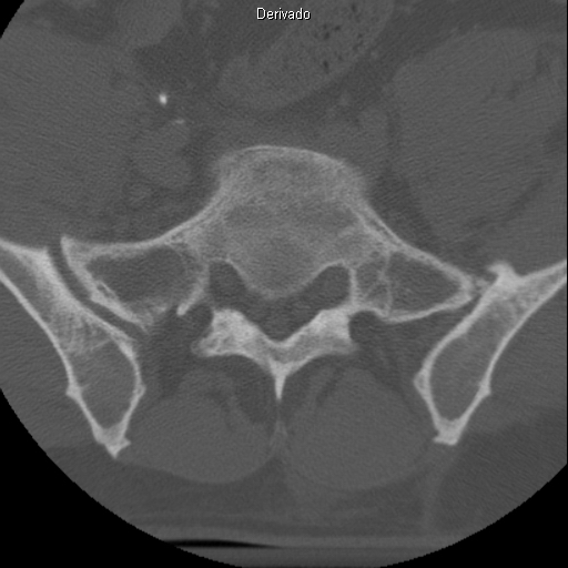
| Fractura da Apófise Transversa Esq. de L4 |
![]() | |
| Fractura Somática anterosuperior de L5. Envolvimento parcial do Pedículo Drt. |
![]() | |
| REFORMAT: Marcação dos cortes Sagitais |
![]() |
| # Apófise articular sup. de L5 |
![]() | ||
| Listese posterior de L5 sobre S1. #Apófise Espinhosa de L4 |
![]() | |
| Corte Coronal mostra # cominutiva da Faceta articular sup. Drt de L5 |
JANELA DE PARTES MOLES:
A avaliação em janela de partes moles revela protrusão póstero-lateral esq. do disco L4\L5 com componente hemorrágico associado. Marcado conflito do trajecto radicular homolateral.
![]() | |
| REFORMAT: Marcação dos cortes Axiais |
CURIOSIDADE:
Pode-se observar imagens de presença de vertebra de transição lombosagrada, com disco rudimentar para S2. (Variante anatómica não patológica).
IMAGENS 3D:



















na resonansia deu discopia degerativa lonbalizacao des1 e disco rudimentar s1s2 abaulamemtodifuso do disco intersomatico l4 l5 sobretudo l5 s1 sem aparente efeito radiculo compressivo valorizavel
ResponderExcluir