A pancreatite aguda (PA) é, na maioria dos casos, uma doença inflamatória que se resolve com medidas clínicas. Todavia, a presença de necrose pancreática e peripancreática, associada à infecção, é potencialmente grave e pode demandar cuidados e abordagens especializadas.
A incidência de PA, baseada em registros hospitalares, varia de 5,4 a 79,8 casos por 100.000 habitantes, respectivamente, na Inglaterra e nos Estados Unidos da América. A avaliação da incidência da PA é prejudicada pela falta de confirmação histológica na maioria dos casos e, possivelmente, reflete a organização dos serviços de saúde. É provável que muitos pacientes com PA na forma branda não procurem os serviços de saúde ou, quando o fazem, os casos não são diagnosticados ou notificados
A mortalidade global, na PA, varia de 10 a 15%. Dentre os óbitos, cerca de 50% ocorrem na fase precoce, isto é, nos primeiros 14 dias da admissão, e decorrem, principalmente, da síndrome da resposta inflamatória sistêmica, secundária à necrose pancreática, enquanto os óbitos remanescentes ocorrem na fase tardia, em função de complicações infecciosas, também da necrose pancreática.
A PA é uma doença associada ou determinada por problemas congênitos, hereditários e adquiridos, ou por agentes de natureza química, traumática e infecto-parasitária e, embora comporte diversos mecanismos etiopatogênicos, o evento final é a ativação das enzimas pancreáticas no interior das células acinares.
A magnitude das lesões pancreáticas, geralmente, correlaciona-se com a gravidade da doença, e é possível, nos dois primeiros dias da admissão, com base na apresentação clínica, na avaliação laboratorial de rotina e no exame tomográfico, classificar a doença em branda ou grave. Na forma branda, que inclui a grande maioria dos casos, as manifestações cursam com mínima repercussão sistêmica, que melhora com a reposição de líquidos e eletrólitos. O tratamento é eficaz e a doença resolve-se em, aproximadamente, uma semana.
A PA é o 5º diagnóstico etiológico de abdómen agudo mais registrado nas salas de urgência de hospitais de referência e a 4ª causa de internamento por abdómen agudo.
As principais causas de PA, são a passagem de cálculo pelo ducto biliar comum e o excesso de ingestão alcoólica, que, juntos, correspondem a aproximadamente 80% dos casos.
- Apresentação Clínica:
O sintoma inicial, e predominante, é a dor, embora, eventualmente, possa estar ausente. O aparecimento é repentino, a localização é epigástrica, com irradiação para flancos e dorso. A dor é constante, pode ser intensa e precipitada por ingestão excessiva de álcool ou alimentos. A melhora pode ser obtida com decúbito lateral e a flexão das coxas sobre o abdômen.
As náuseas e os vômitos são freqüentes e precoces. Os vômitos podem ser de natureza reflexa ou por compressão duodenal pelo pâncreas edemaciado. Às vezes, ocorre paragem de eliminação de gases e fezes e, ocasionalmente, dispnéia. A PA indolor é rara; nessa apresentação, o prognóstico é grave, visto que os pacientes, frequentemente, estão em choque circulatório ou coma. Em alguns casos graves e fatais, a PA é diagnosticada apenas durante a necrópsia.
- Quadro Laboratorial:
O hemograma, o ionograma, a uréia, a creatinina, a glicemia e a gasometria servem para diagnosticar alterações metabólicas e orientar as respectivas correções. Na avaliação hematológica, observa-se, com frequência, elevação do hematócrito, na admissão em virtude do sequestro e perda de líquidos.
A leucocitose é frequente, nas pancreatites graves, pode ocorrer reação leucemóide, mesmo na ausência de infecção. A hiperglicemia leve e transitória é frequente, sobretudo durante os ataques iniciais, onde a liberação de glucagon, de catecolaminas e de glicocorticóides é maior; entretanto, a persistência de hiperglicemia de jejum, superior a 200mg/dl pode refletir a instalação de necrose pancreática. A hipocalcemia pode ser notada por volta do 2° ou do 3° dia da instalação da doença e, raramente, é grave. Níveis de cálcio inferiores a 7,0 mg/dl indicam prognóstico grave.
Em geral, as grandes elevações dos níveis de enzimas, produzidas no pâncreas, não se correlacionam com a gravidade da PA. A elevação da amilase resulta do aumento do extravasamento da enzima na circulação e da redução do clareamento renal. Após o início da inflamação pancreática, já nas primeiras horas, a amilase e a lipase sérica elevam-se. Após o ataque, a amilase sérica reduz-se mais rapidamente que a lipase, e retorna à normalidade dentro de 24 h; a elevação persistente da amilase é indício de complicação, como abscesso ou pseudocisto.
Em alguns pacientes, em que a pancreatite é letal, a amilase pode estar normal, provavelmente, pela grande destruição glandular. A lipase é o melhor indicador de pancreatite em pacientes que são vistos vários dias após o início da crise pancreática. A amilase, também, pode ser detectada nos derrames pleurais e peritoneais pancreáticos, o que pode ser de grande valia. Em geral, nesses derrames, o nível varia de 3 a 10 vezes a mais que os valores séricos, obtidos simultaneamente.
Na PA de etiologia biliar, os testes bioquímicos podem refletir o caráter intermitente ou mantido da obstrução biliar e orientar a terapêutica. A presença de cálculo, na via biliar comum, é acompanhada de elevação da bilirrubina, da fosfatase alcalina e de marcadores da lesão hepatocítica – AST e ALT. Há, também, elevação acentuada da amilase, com níveis que atingem de 2.000 a 4.000 UI/l.
- Diagnóstico por Imagem:
As radiografias de tórax e abdomen são exames importantes para excluir causas perfurativas de abdomen agudo. No entanto, uma variedade de achados radiográficos está associada à pancreatite (Tabela III).
Estes achados radiográficos nem sempre estão presentes e apresentam baixa especificidade na PA, no entanto, a presença de Alça Sentinela (presença de alsa isolada junto à localização do pancreas) é o achado mais frequente (41% dos casos) e pode ser util no diagnóstico diferencial por radiologia convencional. Outro sinal sugestivo de pancreatite é o "Colon Cut-Off" (interrupção abrupta do colon descendente a seguir ao angulo esplénico, que ocorre em cerca de 50% dos casos).
![]() |
| Radiografia simples do abdómen em decúbito dorsal. A seta mostra sinal de "Colon Cut-Off" - interrupção abrupta do colon descendente. |
![]() |
| Scout TC do abdómen - seta mostra sinal de "Colon Cut-Off". |
![]() |
| Radiografia simples do abdómen em decubito dorsal. As setas indicam sinal de "Colon Cut-Off". As letras C evidenciam sinal de "Alça Sentinela" e a letra S refere-se à sombra gástrica. |
A ecografia (US) tem pouco valor na avaliação do pâncreas, na estratificação da PA e na detecção de necrose pancreática; a presença de gases intestinais e a obesidade são fatores limitantes para a acurácia do exame ultra-sonográfico, em comparação à tomografia.
A US é um exame para o início da avaliação da pancreatite leve e tem grande valor no exame das vias biliares: diagnóstico de cálculos, lamas biliares, dilatação das vias biliares, espessamento da parede vesicular.
A US também pode demonstrar a extensão extrapancreática da inflamação, envolvendo o espaço pararenal anterior, o mesocólon transverso e a retrocavidade dos epíplons. A US também é útil no seguimento evolutivo de coleções e de pseudocistos. Com a utilização do Doppler, pode auxiliar no diagnóstico de complicações vasculares, tais como pseudoaneurismas e trombose venosa.
A tomografia computorizada, por sua vez, é uma técnica disponível que, apesar de ter um custo elevado (quando comparada com a radiografia e com a ecografia), é considerada a técnica de maior utilidade, não só no diagnóstico, como na avaliação do índice de gravidade, através dos critérios de Balthazar e na detecção de complicações como necrose, colecções líquidas agudas, abcessos e pseudoquistos.
Apresenta uma sensibilidade de 92% e especificidade de 100% para a detecção de pancreatite aguda. A sua utilidade é ainda maior nos doentes que não melhoram com a terapêutica após as 48-72 horas. A semiologia observada na tomografia computorizada depende da gravidade da inflamação, sendo o contraste iodado endovenoso útil na detecção de necrose. Os achados da TC na PA podem ser divididos em alterações pancreáticas e peri-pancreáticas, de acordo com a tabela abaixo:
As alterações morfológicas estudadas e referidas por Balthazar et all, presentes no quando anterior, podem ser determinadas sem recorrer ao uso de contraste endovenoso, no entanto, para determinação da necrose pancreática é essencial a utilização de injecção meio de contraste.
Uma pancreatite leve, com classificação de 0-2 pontos, sem necrose da glândula, é designada por pancreatite edematosa ou intersticial. Este grau de pancreatite é auto-limitado e em cerca de 80% dos casos resolve-se com facilidade e sem qualquer complicação.
Um grau intermédio/mediano de gravidade de PA, sem necrose pancreática, com uma classificação de 3-4 pontos é designado por pancreatite exudativa. Este grau de PA apresenta mais riscos, quando comparado com o anterior, dado que aqui estão presentes colecções peripancreaticas que podem vir a infectar.
Uma pancreatite grave, acima dos 4 pontos na escala de Balthazar, envolve necrose pancreática. A detecção e determinação do grau de necrose numa PA, na prática clínica, é muito importante visto que a maior parte das complicações potencialmente fatais ocorre em doentes que apresentam necrose pancreática.
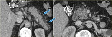
- Exemplos Clínicos (Exames TC):









parabens, ficou otimoooo
ResponderExcluirMuito bom material.
ResponderExcluirTopado
ResponderExcluir